Penebalan Dinding Rahim Apakah Bisa Hamil / Gejala Penebalan Dinding Rahim Atau Terapi Cepat Hamil Facebook

Penebalan Dinding Rahim Apakah Bisa Hamil / Gejala Penebalan Dinding Rahim Atau Terapi Cepat Hamil Facebook. Peluang terbaik untuk hamil yang sehat itu kalau endometrium memiliki ukuran yang pas. Penebalan dinding rahim, atau disebut juga hiperplasia endometrium adalah keadaan dimana dinding rahim memiliki ketebalan melebihi ketebalan dinding rahim normal / pada umumnya. Karena pembesaran dan penebalan rahim itu tidak selalu menjadi ciri anda hamil ya. Pada kasus lain, penebalan dinding rahim juga terjadi karena faktor hormon yang nggak seimbang, saat peningkatan hormon estrogen nggak diimbangi sama peningkatan progesteron. Penebalan dinding rahim ( endometrium) merupakan salah satu ciri seseorang mengalami gangguan hiperplasia endometrium.

Ketebalan dinding rahim berubah selama siklus menstruasi. Haid lebih lama dengan volume darah yang juga lebih banyak. Penebalan dinding rahim sebenarnya merupakan aktivitas biologis yang normal terjadi pada rahim sebagai bentuk persiapan jika sel telur yang dikeluarkan oleh ovarium dapat dibuahi sel sperma yang masuk ke. Cara menyembuhkan penebalan dinding rahim secara total cara menyembuhkan penebalan dinding rahim secara total paling ampuh terbukti sembuh total hanya dengan gamat emas kapsul yang sudah banyak terbukti menyembuhkan penebalan dinding rahim secara total dengan proses alami, aman dan tanpa efek samping selain itu juga sudah banyak kesaksian kesaksian konsumen kami yang sudah merasakan kesembuhan … Namun obat ini memiliki efek samping berupa menstruasi yang tidak beraturan hingga enam bulan ke depan, sakit kepala, payudara yang sensitif, hingga jerawat.

Positif Hamil 2 Bulan Posts Facebook
Positif Hamil 2 Bulan Posts Facebook from lookaside.fbsbx.com
Misalnya, pendarahan pada rahim, pendarahan usai menopause, polip rahim, ketidakseimbangan hormon bahkan kanker rahim. Penyebabnya bisa bervariasi, di antaranya yakni: Sebenarnya, penebalan dinding rahim bukan suatu aktivitas dari kanker. Estrogen bisa meningkat karena dipicu oleh pertumbuhan kista. Penebalan dinding rahim membuat sulit hamil? Jadi untuk menjaga kemungkinan bunda hamil sementara jaga. Penebalan dinding rahim ini biasa disebabkan akibat. Namun obat ini memiliki efek samping berupa menstruasi yang tidak beraturan hingga enam bulan ke depan, sakit kepala, payudara yang sensitif, hingga jerawat.

Alat yang mirip kb spiral ini ditempatkan di dalam rahim dan bisa melepaskan hormon levonorgestrel untuk menekan penebalan dinding rahim agar volume darah haid berkurang.

Penebalan dinding rahim membuat sulit hamil? Beberapa yang bisa menjadi indikator adalah: Haid lebih lama dengan volume darah yang juga lebih banyak. Karena pembesaran dan penebalan rahim itu tidak selalu menjadi ciri anda hamil ya. Hormon ini melenturkan leher rahim pada akhir kehamilan, sehingga bayi lebih mudah untuk keluar. Saat hasil test pack menunjukkan garis dua, yang segera dilakukan calon ibu baru adalah mengunjungi dokter sesegera mungkin. Sebenarnya, penebalan dinding rahim bukan suatu aktivitas dari kanker. Wanita yang sedang hamil muda biasanya mengalami kenaikan suhu tubuh sedikit di atas ambang normal, namun tidak sampai demam. Jika endometrium terlihat tebal, maka bisa saja hal ini menujukkan bahwa adanya penebalan dinding rahim, hiperplasia endometrium. Tanda tanda penebalan dinding adalah sebagai berikut. Simak penyebab dan gejala lainnya disini yuk! Cara menyembuhkan penebalan dinding rahim secara total cara menyembuhkan penebalan dinding rahim secara total paling ampuh terbukti sembuh total hanya dengan gamat emas kapsul yang sudah banyak terbukti menyembuhkan penebalan dinding rahim secara total dengan proses alami, aman dan tanpa efek samping selain itu juga sudah banyak kesaksian kesaksian konsumen kami yang sudah merasakan kesembuhan … Apakah siklus menstruasi ibu teratur atau tidak?.

Hal ini bisa terjadi ketika jumlah sel penyusun dinding rahim abnormal lalu tumbuh berlebihan. Sebenarnya, penebalan dinding rahim bukan suatu aktivitas dari kanker. Berikut adalah gejala yang dapat dirasakan pada penebalan dinding rahim Karena pembesaran dan penebalan rahim itu tidak selalu menjadi ciri anda hamil ya. Siklus antar haid kurang dari 21 hari.

Penebalan Dinding Rahim Awal Kehamilan Salam Sehat
Penebalan Dinding Rahim Awal Kehamilan Salam Sehat from ratihnafizh.files.wordpress.com
Penebalan dinding rahim perlu diobati terlebih dahulu untuk memulai program hamil. Penebalan dinding rahim ini biasa disebabkan akibat. Artinya, risiko kanker rahim atau operasi pengangkatan rahim bisa dihindari. Jika akan haid dinding rahim memang menebal, dan tp yg samar pun terkadang menandakan akan haid atau hamil. Ketebalan dinding rahim berubah selama siklus menstruasi. Penebalan dinding rahim bisa terjadi akibat melonjaknya hormon estrogen dalam tubuh. Pastikan mama waspada terhadap setiap gejalanya, ya. Bisa saja masalah ini dapat sembuh sendiri tanpa perlu diobati.

Hal ini sangat penting karena suplemen yang menjadi bagian dari asam amino ini penting untuk membangun pembuluh darah yang sehat.

Sebenarnya proses kuret tak memakan waktu yang lama. Bisa saja masalah ini dapat sembuh sendiri tanpa perlu diobati. Cara menyembuhkan penebalan dinding rahim secara total cara menyembuhkan penebalan dinding rahim secara total paling ampuh terbukti sembuh total hanya dengan gamat emas kapsul yang sudah banyak terbukti menyembuhkan penebalan dinding rahim secara total dengan proses alami, aman dan tanpa efek samping selain itu juga sudah banyak kesaksian kesaksian konsumen kami yang sudah merasakan kesembuhan … Penyebabnya bisa bervariasi, di antaranya yakni: Penebalan dinding rahim, atau disebut juga hiperplasia endometrium adalah keadaan dimana dinding rahim memiliki ketebalan melebihi ketebalan dinding rahim normal / pada umumnya. Karena untuk melakukan inseminasi anda tetap membutuhkan dinding rahim yang sehat dan normal bukan yang mengalami penebalan. Salah satu bentuk masalah pada organ reproduksi yang bisa jadi timbul karena konsumsi makanan tertentu adalah kondisi penebalan dinding rahim. Sekedar mengingatkan tanda hamil dan akan haid beda tipis jadi gak bisa dipastikan bunda hamil apa tidak, dan penebalan dinding rahim biasanya menandakan hamil atau akan haid. Ketebalan dinding rahim berubah selama siklus menstruasi. Dinding rahim bisa menebal dan menipis lho, bunda. Hal ini bisa terjadi ketika jumlah sel penyusun dinding rahim abnormal lalu tumbuh berlebihan. Untuk ciri dinding rahim menebal tanda hamil : Jadi untuk menjaga kemungkinan bunda hamil sementara jaga.

Artinya, risiko kanker rahim atau operasi pengangkatan rahim bisa dihindari. Tindakan kuret juga bisa dilakukan untuk mendiagnosis suatu penyakit. Jika endometrium terlihat tebal, maka bisa saja hal ini menujukkan bahwa adanya penebalan dinding rahim, hiperplasia endometrium. Sekedar mengingatkan tanda hamil dan akan haid beda tipis jadi gak bisa dipastikan bunda hamil apa tidak, dan penebalan dinding rahim biasanya menandakan hamil atau akan haid. Menjaga ketebalan dinding rahim selama janin berkembang.

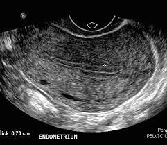
Penebalan Dinding Rahim Membuat Sulit Hamil Catat Gejalanya Berikut Ini
Penebalan Dinding Rahim Membuat Sulit Hamil Catat Gejalanya Berikut Ini from s3.theasianparent.com
Estrogen bisa meningkat karena dipicu oleh pertumbuhan kista. Penebalan dinding rahim bisa terjadi akibat melonjaknya hormon estrogen dalam tubuh. Sebenarnya proses kuret tak memakan waktu yang lama. Namun untuk lebih memastikan apakah anda hamil atau tidak maka anda harus mengetesnya dengan tespeck atau tes ke dokter kandungan. Peluang terbaik untuk hamil yang sehat itu kalau endometrium memiliki ukuran yang pas. Penebalan dinding rahim, bahasa kedokterannya hiperplasia endometrium, dapat menjadi penyebab pendarahan menstruasi yang tidak normal. Haid lebih lama dengan volume darah yang juga lebih banyak. Namun, banyak pula kondisi yang dapat menyebabkan perdarahan abnormal.

Wanita yang sedang hamil muda biasanya mengalami kenaikan suhu tubuh sedikit di atas ambang normal, namun tidak sampai demam.

Pendarahan yang terjadi setelah menopause juga merupakan gejala penebalan dinding rahim yang tidak normal. Berikut adalah gejala yang dapat dirasakan pada penebalan dinding rahim Menjaga ketebalan dinding rahim selama janin berkembang. Masalah kewanitaan yang kerap terjadi juga adalah penebalan dinding rahim, hal ini bisa menjadi faktor seseorang menjadi sulit hamil. Hormon ini melenturkan leher rahim pada akhir kehamilan, sehingga bayi lebih mudah untuk keluar. Pada kasus lain, penebalan dinding rahim juga terjadi karena faktor hormon yang nggak seimbang, saat peningkatan hormon estrogen nggak diimbangi sama peningkatan progesteron. Apakah siklus menstruasi ibu teratur atau tidak?. Masalah kerap datang jika bunda mengalami penebalan dinding rahim yang di atas normal, bisakah. Karena pembesaran dan penebalan rahim itu tidak selalu menjadi ciri anda hamil ya. Beberapa yang bisa menjadi indikator adalah: Penebalan dinding rahim ini biasa disebabkan akibat. Namun untuk lebih memastikan apakah anda hamil atau tidak maka anda harus mengetesnya dengan tespeck atau tes ke dokter kandungan. Alat yang mirip kb spiral ini ditempatkan di dalam rahim dan bisa melepaskan hormon levonorgestrel untuk menekan penebalan dinding rahim agar volume darah haid berkurang.